




Serum + Lasergen
Booster routine to reduce the effects of flaccidity on the face with balanced skin.
Serum and Lasergen as a routine reduce the effects suffered by the face as a result of loss of firmness:
- Nasolabial fold.
- Supralabial rhitidosis (barcode).
- Glabellar and frontal lines (forehead and frown lines).
- Chin creases (marionette lines).
- Internal dehydration.
It is the routine for balanced or moderately dry skin.
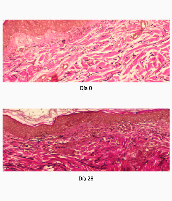
This is how we proved that it works. The image shows a skin biopsy performed on a volunteer.
The skin has been plumped up in the deeper layers, making it firmer.

The highest concentration of our skin regenerating active ingredient born from biomedical research.
We combine it with the most advanced high cosmetic products such as Niacinamide and chlorella algae.
And we complete it with the most proven natural cosmetics: aloe vera, shea butter.
- NO dyes, irritating alcohols, sulfates, formaldehyde, phenols or any substance harmful to your skin.
Lasergen Ingredients: Aqua, aloe barbadensis leaf juice, octyldodecanol, coco-caprylate/caprate, glycerin, butyrospermum parkii butter, cetyl alcohol, glyceryl stearate, benzyl alcohol, carbomer, peg-75 stearate, xanthan gum, steareth-20, ceteth-20, ethylhexylglycerin, methylpropanediol, sodium phytate, parfum, sodium hydroxide, caprylyl glycol, potassium sorbate, sodium benzoate, phenylpropanol, hyaluronic acid, citric acid, sodium citrate, tocopherol, gold thioethylamino hyaluronic acid (nano).
Serum ingredients: Aqua, glycerin, gold thioethylamino hyaluronic acid (nano), methylsilanol hydroxyproline aspartate, polysorbate 20, niacinamide, butylene glycol, sodium levulinate, xanthan gum, potassium sorbate, tocopheryl acetate, glyceryl polyacrylate, propanediol, citric acid, caprylyl glycol, sodium benzoate, ethylhexylglycerin, chlorella vulgaris extract, lactic acid, glucose, tocopherol, parfum.
- Cleanse your face properly. If you are wearing make-up, first use a make-up remover milk and then a facial soap, mousse or toner.
- Apply the Serum by massaging until completely absorbed.
- Massage the cream into the face, neck and nape of the neck until completely absorbed. Take your time.
- Apply both products morning and night. Be consistent. You will start to see your skin look better in a few days but results on sagging and wrinkles take about a month.
Choose options





Three frequently asked questions
Our facial routines reduce the effects of facial sagging such as barcodes, nasolabial folds, marionette lines, forehead and frown lines. It also deeply hydrates.
If you have any of these concerns, routines are made for you.
You should choose this if your skin is balanced or moderately dry, not oily but not so dry as to be tight.
If it is dry and tight, then you should choose Serum + Nutritive. If it is oily or combination your routine is Serum + Bioactive.
Yes, Lasergen is a treatment cream and can be used both in the morning and at night.
Just keep in mind that it does not contain sunscreen. If you use it in the morning you have to apply a sunscreen as a last step.
After cleansing the skin, first apply the serum until you notice that it is completely absorbed. It takes only a few seconds.
Then apply the cream.
They have tried it and they are already believers...
"I use Lasergen to recover the skin after procedures such as lasers or peels. My patients' skin recovers much sooner. I also use Lasergen as a moisturizer on very dehydrated or sun-damaged skin."
Dr. David Romero

Epidermos Clinic
"Endor's Serum brings together features that are hard to find. It gives luminosity and firmness, improves fine wrinkles on the face, neck and décolleté. It is well tolerated by all skin types. In consultation we recommend it with the certainty of getting it right."
Dr. Montserrat Saban

Saban Dermatology

Our section in the cell culture laboratory of the parc científic de barcelona
different results
Thanks to our work in medical research and our location at the Parc Científic de Barcelona, we have knowledge and technical means that, when applied to cosmetics, achieve different results.
Results that make tens of thousands of customers happy.