




Serum + Lasergen
Rutina booster para reducir los efectos de la flacidez en el rostro con piel equilibrada.
Serum y Lasergen como rutina reducen los efectos que sufre el rostro como consecuencia de la pérdida de firmeza:
- Surco nasogeniano.
- Ritidosis supralabial (código de barras).
- Líneas glabelares y frontales (arrugas en frente y entrecejo).
- Pliegues del mentón (líneas de marioneta).
- Deshidratación interna.
Es la rutina para piel equilibrada o moderadamente seca.
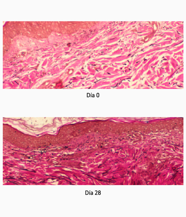
Así demostramos que funciona. La imagen muestra una biopsia de piel realizada a una voluntaria.
La piel se ha rellenado en las capas más profundas, haciéndola más firme.

La mayor concentración de nuestro activo para regenerar la piel nacido de la investigación biomédica.
Lo unimos a lo más avanzado de la alta cosmética como la Niacinamida y el alga chlorella.
Y lo completamos con lo más probado de la cosmética natural: aloe vera, manteca de karité.
- NO a colorantes, alcoholes irritantes, sulfatos, formaldeidos, fenoles ni cualquier sustancia perjudicial para tu piel.
Ingredientes Lasergen: Aqua, aloe barbadensis leaf juice, octyldodecanol, coco-caprylate/caprate, glycerin, butyrospermum parkii butter, cetyl alcohol, glyceryl stearate, benzyl alcohol, carbomer, peg-75 stearate, xanthan gum, steareth-20, ceteth-20, ethylhexylglycerin, methylpropanediol, sodium phytate, parfum, sodium hydroxide, caprylyl glycol, potassium sorbate, sodium benzoate, phenylpropanol, hyaluronic acid, citric acid, sodium citrate, tocopherol, gold thioethylamino hyaluronic acid (nano).
Ingredientes Serum: Aqua, glycerin, gold thioethylamino hyaluronic acid (nano), methylsilanol hydroxyproline aspartate, polysorbate 20, niacinamide, butylene glycol, sodium levulinate, xanthan gum, potassium sorbate, tocopheryl acetate, glyceryl polyacrylate, propanediol, citric acid, caprylyl glycol, sodium benzoate, ethylhexylglycerin, chlorella vulgaris extract, lactic acid, glucose, tocopherol, parfum.
- Higieniza correctamente el rostro. Si llevas maquillaje utiliza primero una leche desmaquillante y después un jabón facial, mousse o tónico.
- Aplica el Serum mediante masaje hasta su completa absorción.
- Aplica la crema mediante un masaje en rostro, cuello y nuca hasta su completa absorción. Tómate tu tiempo.
- Aplica ambos productos mañana y noche. Sé constante. Empezarás a ver tu piel mejor en pocos días pero los resultados sobre flacidez y arrugas tardan un mes aproximadamente.
Elige opciones





Las Tres preguntas más frecuentes
Nuestras rutinas faciales reducen los efectos de la flacidez en el rostro como el código de barras, surco nasogeniano, líneas de marioneta, o arrugas en frente y entrecejo. Además hidrata en profundidad.
Si tienes alguna de estas preocupaciones, las rutinas están hechas para ti.
Has de escoger esta si tu piel es equilibrada o moderadamente seca, no la notas grasa pero tampoco seca como para que sea tirante.
Si la notas seca y tirante, entonces has de escoger Serum + Nutritive. Si es grasa o mixta tu rutina es Serum + Bioactive.
Sí. Lasergen es una crema de tratamiento y la puedes usar tanto por la mañana como por la noche.
Solo has de tener en cuenta que no lleva protector solar. Si la usas por la mañana has de aplicar un protector solar como último paso.
Después de limpiar la piel, primero el serum hasta que notes que se ha absorbido del todo. Son apenas unos segundos.
Entonces aplica la crema.
La han probado y ya son creyentes...
"Utilizo Lasergen para recuperar la piel después de procedimientos como láser o peelings. La piel de mis pacientes se recupera mucho antes. También utilizó Lasergen como crema hidratante en pieles muy deshidratadas o con daño solar".
Dr. David Romero

Clínica Epidermos
"El Serum de Endor reune características difíciles de encontrar. Da luminosidad y firmeza, mejora arrugas finas del rostro, cuello y escote. Se tolera bien en todo tipo de pieles. En consulta lo recomendamos con la seguridad de acertar"
Dra. Montserrat Saban

Saban Dermatología

Nuestra sección en el laboratorio de cultivos celulares del parc científic de barcelona
resultados diferentes
Gracias a nuestro trabajo en investigación médica y a estar en el Parc Científic de Barcelona tenemos unos conocimientos y medios técnicos que, aplicados a la cosmética, consiguen resultados diferentes.
Resultados que hacen felices a decenas de miles de clientes.