



Lasergen
Últimas unidades con la fórmula y precios actuales.
Mejora los efectos de la flacidez en todo el rostro. Piel equilibrada o moderadamente seca.
Lasergen actúa sobre los efectos que tiene la pérdida de firmeza en todas las zonas del rostro. Su fórmula es para piel normal o moderadamente seca sin tirantez:
- Zona perilabial: reduce el surco nasogeniano, el código de barras y los pliegues en el mentón (líneas de marioneta).
- Zona frontal: reduce las arrugas en la frente y las líneas glabelares (entrecejo).
- Zona lateral: reduce arrugas de expresión cerca del contorno del ojo.
- Aporta hidratación profunda
Lasergen se creó para mejorar la piel después de procedimientos láser abrasivos. De ahí su nombre. Debido a su origen, su acción sobre la piel sana es muy alto.
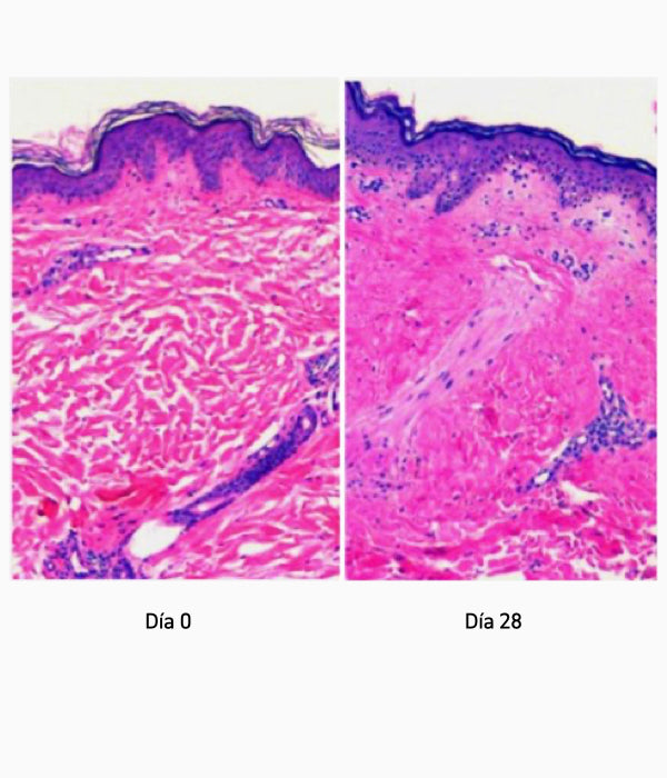
Así demostramos que funciona. Esta imagen es una biopsia realizada a una voluntaria. El resultado demuestra que la piel se ha rellenado y por tanto se ha vuelto más firme. Las afectaciones de la falta de firmeza mejoran.

- Active Hyaluronan: nuestra molécula patentada capaz de reducir la flacidez y las arrugas en el rostro.
- Aloe vera: Regenera y alimenta la piel con una alta concentración de vitaminas y minerales.
- Manteca de Karité: Hidrata y nutre en profundidad, mantiene la humedad en la piel.
- Aminoácidos: Reducen la profundidad de las arrugas y mejoran la suavidad de la piel.
- NO a colorantes, alcoholes irritantes, sulfatos, formaldeidos, fenoles ni cualquier sustancia perjudicial para tu piel.
Ingredientes: Aqua, aloe barbadensis leaf juice, octyldodecanol, coco-caprylate/caprate, glycerin, butyrospermum parkii butter, cetyl alcohol, glyceryl stearate, benzyl alcohol, carbomer, peg-75 stearate, xanthan gum, steareth-20, ceteth-20, ethylhexylglycerin, methylpropanediol, sodium phytate, parfum, sodium hydroxide, caprylyl glycol, potassium sorbate, sodium benzoate, phenylpropanol, hyaluronic acid, citric acid, sodium citrate, tocopherol, gold thioethylamino hyaluronic acid (nano).
- Sin limpieza no hay belleza. Higieniza correctamente el rostro antes de aplicar la crema. Si llevas maquillaje utiliza primero una leche desmaquillante y después un jabón facial o mousse para terminar con un tónico.
- Aplica la crema mediante un masaje enérgico en rostro, cuello y nuca hasta su completa absorción. Tómate tu tiempo.
- Aplica la crema mañana y noche. Sé constante. Empezarás a ver tu piel mejor en pocos días pero los resultados sobre flacidez y arrugas tardan un mes aproximadamente.
Elige opciones




Las preguntas más frecuentes sobre Lasergen
Como las demás faciales, Lasergen lleva nuestra molécula para mejorar la firmeza de la piel. Lasergen está indicada para pieles equilibradas o moderadamente secas sin tirantez.
Lasergen se creo para cuidar de pieles que han recibido tratamiento con láser ablativo que daña mucho la piel. Su fórmula es de todas, la mejor tolerada por pieles muy sensibles.
Si tu piel es mixta o grasa, debes escoger Bioactive Cream. Si por el contrario es seca y tirante, tu opción es Bioactive Nutritive.
Sí. Lasergen se puede usar día y noche. Como no lleva protección solar hay que usar una crema solar por la mañana después de Lasergen.
Sí. Lasergen no lleva retinol y por lo tanto se puede usar con serums que lleven retinoides.
Creen en el producto
"Usamos de primera elección Lasergen gracias a su poder regenerador con grandes resultados. Lasergen da hidratación, nutrición y un aspecto rejuvenecedor en poco tiempo".
Dr. Daniel Marín

Royal Clinic
"Utilizo Lasergen para recuperar la piel después de procedimientos como láser o peelings. La piel de mis pacientes se recupera mucho antes. También utilizó Lasergen como crema hidratante en pieles muy deshidratadas o con daño solar".
Dr. David Romero - Clínica Epidermos


↳ Ácido hialurónico observado con microscopía de fuerzas atómicas
ciencia para hacerte feliz
Nuestra experiencia en investigación médica y estar en el Parc Científic de Barcelona nos dan unos medios que, llevados a la cosmética, dan unos resultados que hacen felices a decenas de miles de clientes.
Para conseguir el máximo efecto





El Serum aplicado antes de la Crema acelera y potencia el resultado. Verás más efecto y más rápido.
La combinación de ambos deja la piel suave e hidratada.