



Lasergen
Last units with current formula and prices.
Improves the effects of sagging all over the face. Balanced or moderately dry skin.
Lasergen acts on the effects of loss of firmness in all areas of the face. Its formula is for normal to moderately dry skin without tightness:
- Perilabial area: reduces the nasolabial folds, barcode and chin creases (marionette lines).
- Forehead area: reduces forehead wrinkles and glabellar (frown) lines.
- Lateral zone: reduces expression wrinkles near the eye contour.
- Provides deep hydration
Lasergen was created to improve the skin after abrasive laser procedures. Hence its name. Due to its origin, its action on healthy skin is very high.
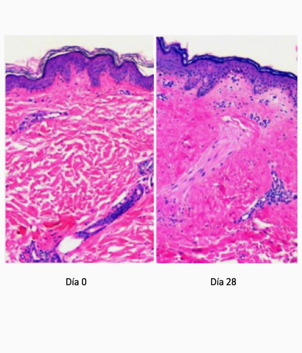
This is how we proved that it works. This image is a biopsy performed on a volunteer. The result shows that the skin has plumped up and thus become firmer. The effects of the lack of firmness are improved.

- Active Hyaluronan: our patented molecule capable of reducing sagging and wrinkles on the face.
- Aloe vera: Regenerates and nourishes the skin with a high concentration of vitamins and minerals.
- Shea Butter: Moisturizes and nourishes in depth, maintains moisture in the skin.
- Amino acids: Reduce the depth of wrinkles and improve skin smoothness.
- NO dyes, irritating alcohols, sulfates, formaldehyde, phenols or any substance harmful to your skin.
Ingredients: Aqua, aloe barbadensis leaf juice, octyldodecanol, coco-caprylate/caprate, glycerin, butyrospermum parkii butter, cetyl alcohol, glyceryl stearate, benzyl alcohol, carbomer, peg-75 stearate, xanthan gum, steareth-20, ceteth-20, ethylhexylglycerin, methylpropanediol, sodium phytate, parfum, sodium hydroxide, caprylyl glycol, potassium sorbate, sodium benzoate, phenylpropanol, hyaluronic acid, citric acid, sodium citrate, tocopherol, gold thioethylamino hyaluronic acid (nano).
- Without cleansing there is no beauty. Cleanse your face properly before applying the cream. If you are wearing make-up, first use a make-up remover milk and then a facial soap or mousse and finish with a toner.
- Apply the cream with an energetic massage on the face, neck and nape of the neck until it is completely absorbed. Take your time.
- Apply the cream morning and night. Be consistent. You will start to see your skin look better in a few days but results on flaccidity and wrinkles take about a month.
Choose options




Frequently asked questions about Lasergen
Like the other facials, Lasergen contains our molecule to improve skin firmness. Lasergen is indicated for balanced to moderately dry skin without tightness.
Lasergen was created to care for skins that have received ablative laser treatment which is very damaging to the skin. Its formula is the best tolerated by very sensitive skin.
If your skin is combination or oily, you should choose Bioactive Cream. If, on the other hand, it is dry and tight, your choice is Bioactive Nutritive.
Yes, Lasergen can be used day and night. As it does not contain sunscreen, a sunscreen should be used in the morning after Lasergen.
Yes, Lasergen does not contain retinol and can therefore be used with serums containing retinoids.
Believe in the product
"We use Lasergen as our first choice because of its regenerative power with great results. Lasergen gives hydration, nourishment and a rejuvenating look in a short time."
Dr. Daniel Marín

Royal Clinic
"I use Lasergen to recover the skin after procedures such as lasers or peels. My patients' skin recovers much sooner. I also use Lasergen as a moisturizer on very dehydrated or sun-damaged skin."
Dr. David Romero - Epidermos Clinic


↳ Hyaluronic acid observed with atomic force microscopy.
science to make you happy
Our experience in medical research and being in the Parc Científic de Barcelona give us the means that, taken to cosmetics, give results that make tens of thousands of customers happy.
For maximum effect





The Serum applied before the Cream accelerates and enhances the result. You will see more effect and faster.
The combination of the two leaves the skin soft and moisturized.